Full-Arch Implant Rehabilitation of a Severely Atrophic Maxilla Using DSI Conical Implants
Featured products
DSI Premium Conical Connection Implants
DSI Healing Caps Concave
DSI Multi-Unit Abutments (MUA) 1.6
DSI Scan Body (MUA level)
Patient: Female, 61 years old
The patient presented with multiple mobile teeth in the maxilla caused by chronic marginal periodontitis. Several treatment options were discussed, and the final decision was to proceed with an implant-supported fixed complete denture.





Due to a severely atrophic maxilla, all remaining teeth were extracted under local anesthesia. Immediately following extraction, five DSI conical implants were placed in positions 15, 13, 11, 21, and 24. Cover screws were inserted, and a complete denture was provided as a temporary solution one week post-surgery.
After six months of osseointegration, the cover screws were replaced with DSI multi-unit abutments (MUA) 1.6, and healing caps were inserted. One week after the second-stage surgery, digital impressions were taken at the MUA level using DSI scan bodies and a Dentsply Sirona Primescan intraoral scanner.

.jpg)




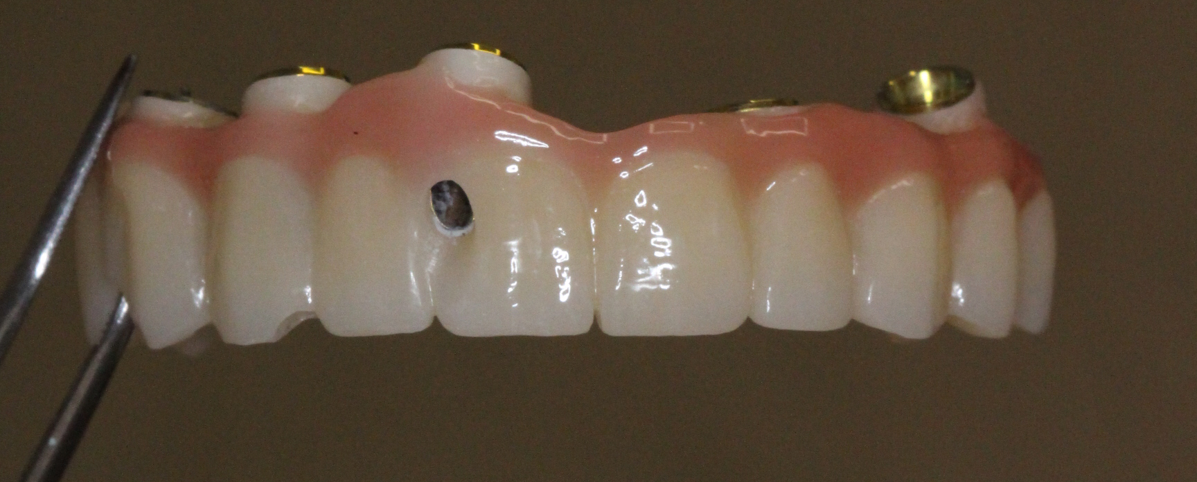
Two weeks later, the patient received her FP2 suprastructure, which was mounted using prosthetic screws. The screw access openings were sealed with composite, and custom-made zirconia posts were placed where visible for optimal esthetics.









