Immediate Implant Placement and Immediate Loading in the Aesthetic Zone Using a DSI Conical Implant and DICOMLAB Surgical Guide
Featured products
Introduction
Immediate implant placement in the aesthetic zone presents significant clinical challenges, particularly in cases involving severe bone loss.
Achieving correct, prosthetically driven implant positioning and sufficient primary stability is critical for both functional and aesthetic outcomes.
Digital treatment planning and guided surgery allow clinicians to manage complex anatomical conditions with higher precision and predictability.
This case report demonstrates atraumatic extraction, immediate implant placement, and immediate loading using a DSI Conical Implant placed with a DICOMLAB surgical guide in a case with complete buccal bone dehiscence in the maxillary aesthetic zone.



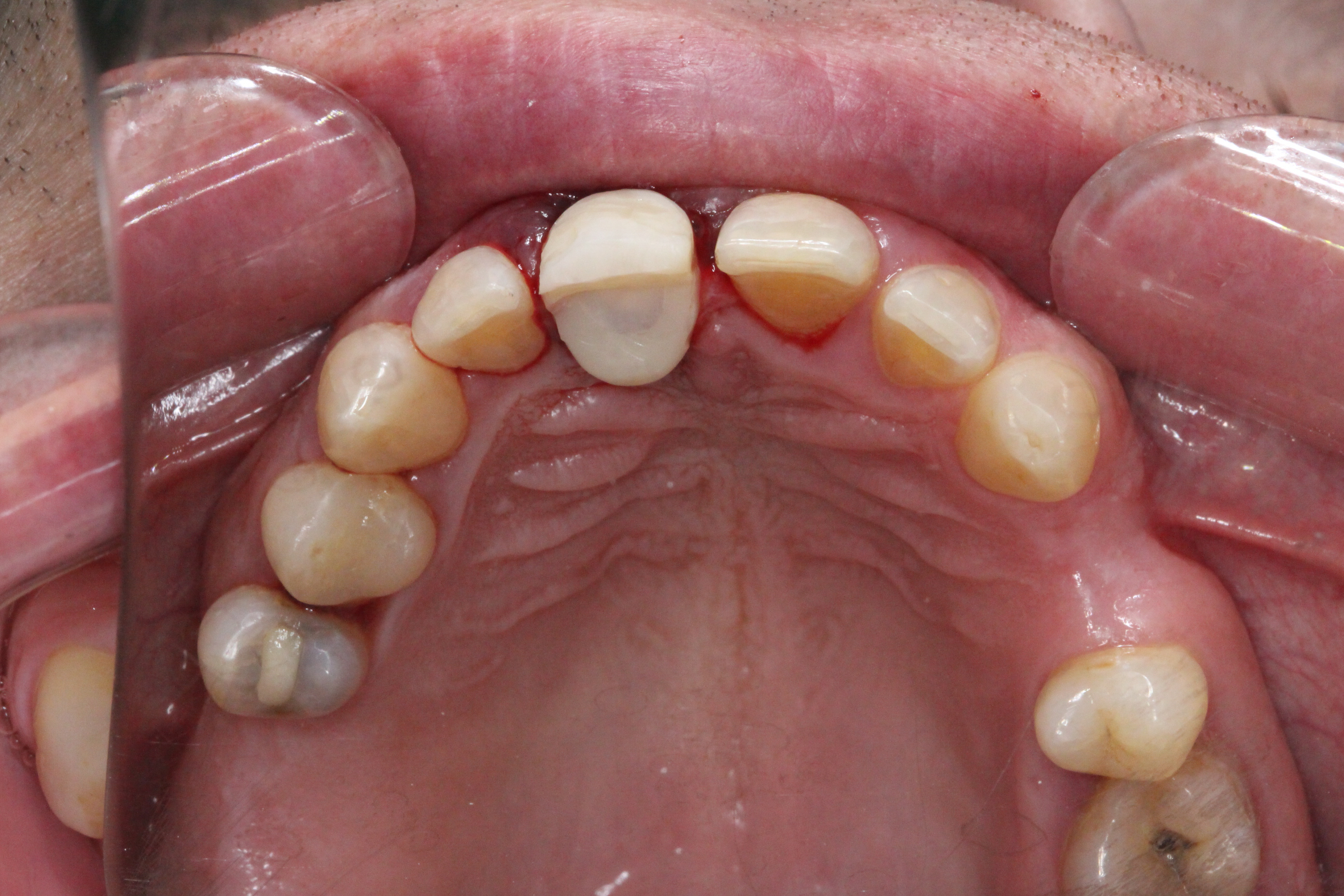
Patient InformationA patient presented with severe mobility of tooth 21.
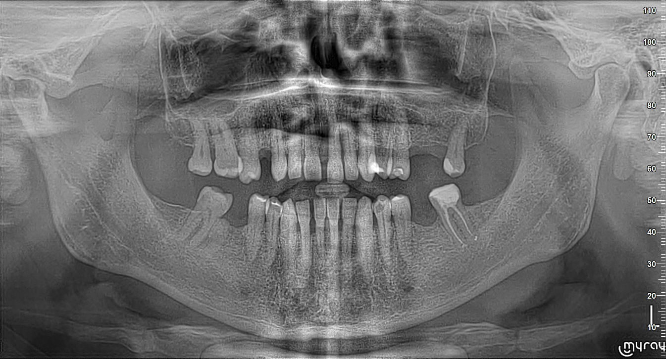
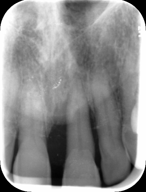
Medical history revealed that the patient was a non-smoker, had no diabetes, and no relevant systemic conditions. Dental history indicated previous trauma to tooth 21. Clinical examination showed Grade III mobility of tooth 21, localized severe periodontal destruction around the tooth, chronic periodontitis, bleeding on probing (BoP) of 10%, and the presence of calculus in the lower jaw. CBCT examination demonstrated complete buccal bone dehiscence around tooth 21 with limited remaining bone support. Therefore, extraction of tooth 21 was indicated.


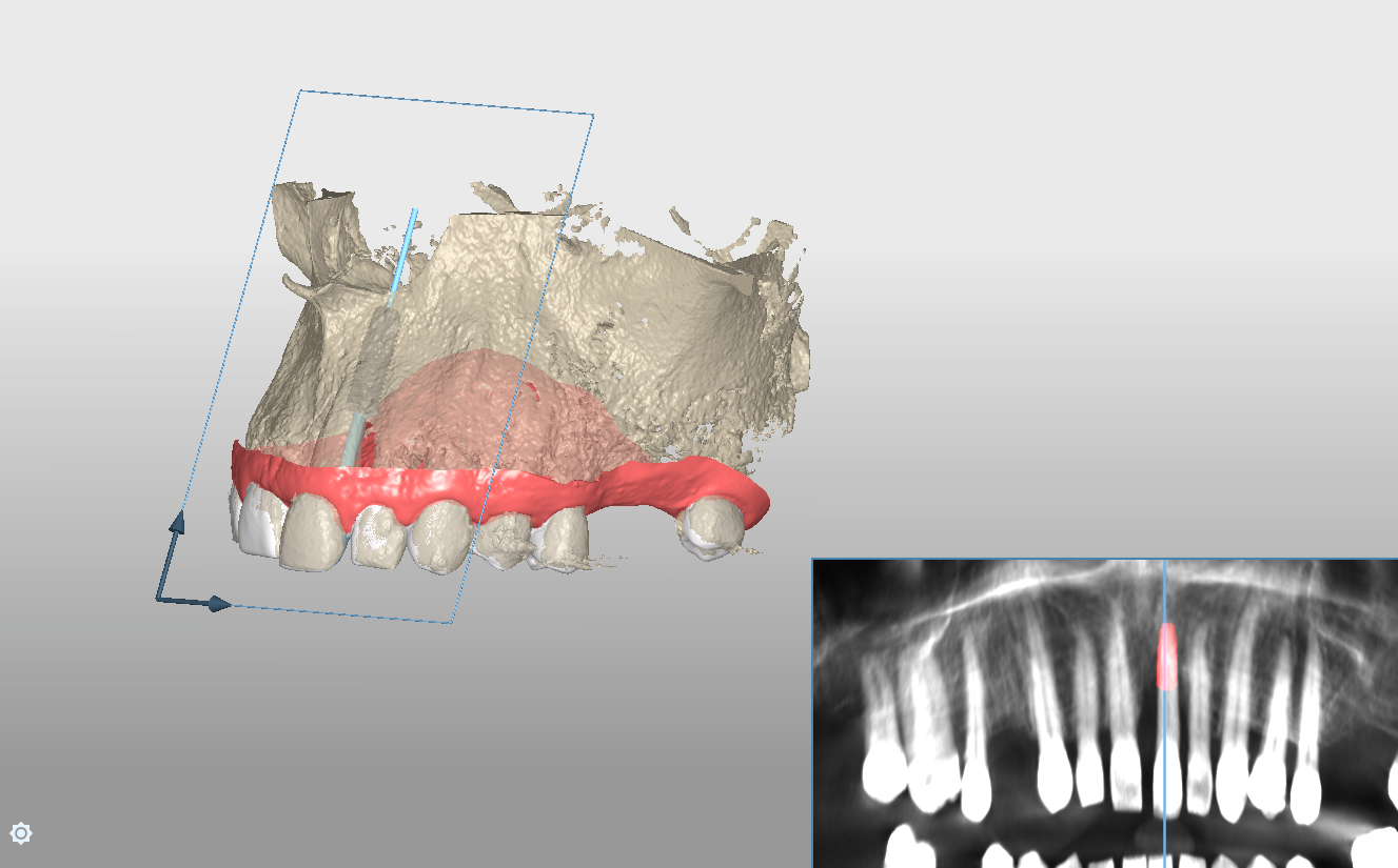
Digital Treatment Planning
Pre-operative planning was performed using the DICOMLAB digital planning platform. The workflow included a pre-operative CBCT scan of the upper jaw and a digitalintraoral scan.
These datasets were merged within the DICOMLAB software to allow prosthetically driven implant planning.
Planned implant:
DSI Conical Implant - 4.3 mm diameter, 13 mm length.
A custom surgical guide was fabricated using the DICOMLAB open platform, which allows surgical guide production for most implant systems.



Surgical Procedure
The surgical procedure was performed by oral surgeon Dr. Amir Ashourioun.
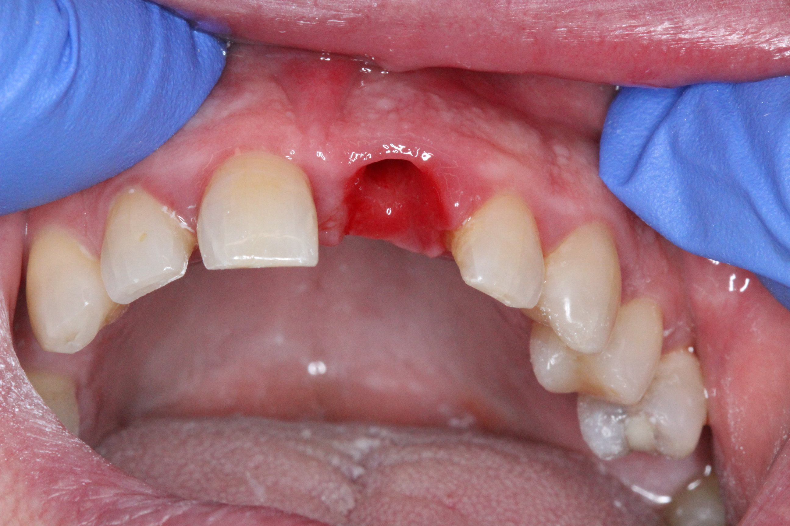
An atraumatic extraction of tooth 21 was performed without flap elevation in order topreserve the soft tissue architecture.
The DICOMLAB surgical guide was positioned, and the implant was placed according to the digital plan.
Implant placed: DSI Conical Implant – 4.3 × 13 mm.
Primary stability achieved: 45 Ncm insertion torque.
Achieving this level of stability and ideal prosthetic positioning would have been extremely difficult without guided surgery due to the severe buccal bone deficiency.




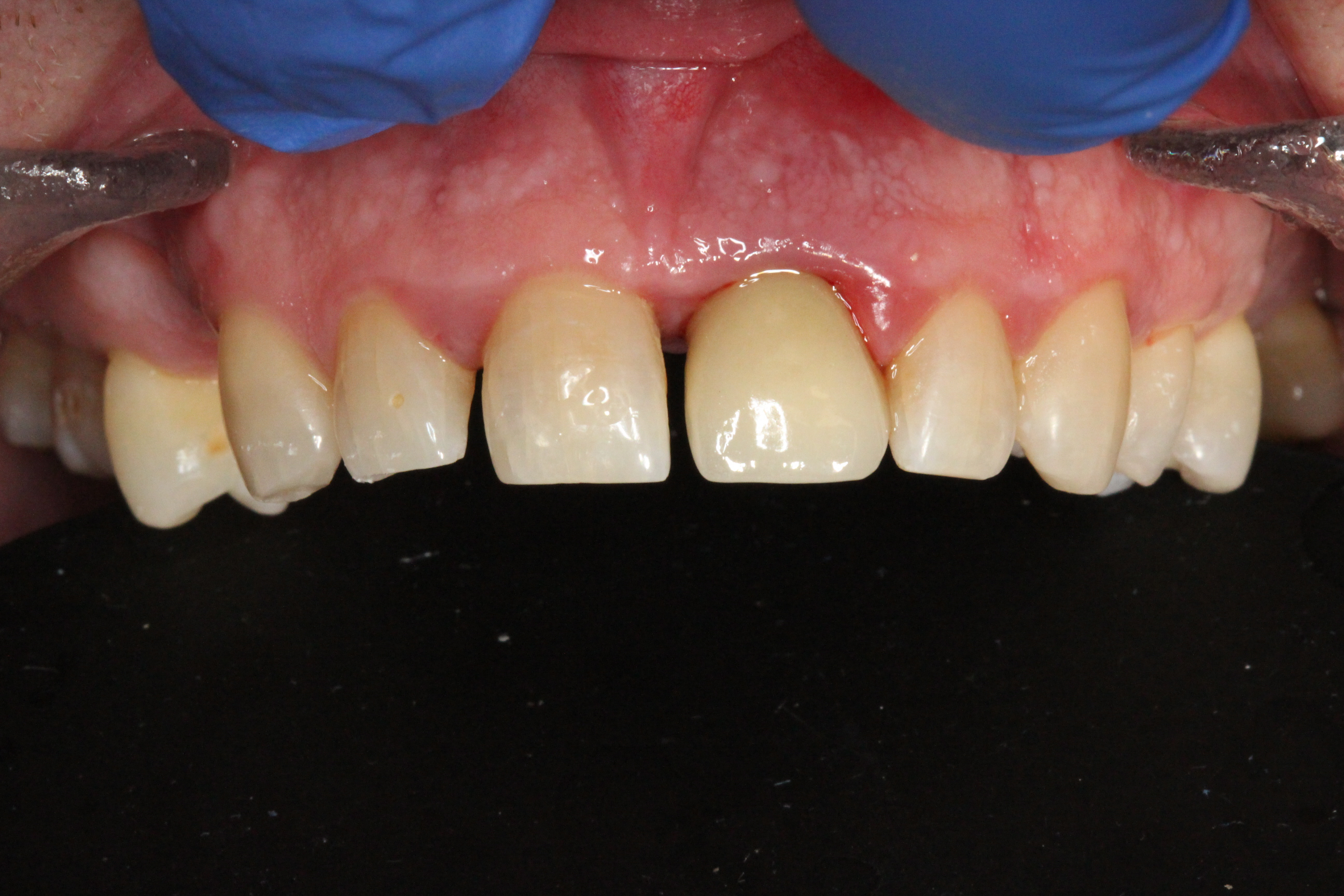
Immediate Loading
The prosthetic phase was performed by Dr. Simon Budak.
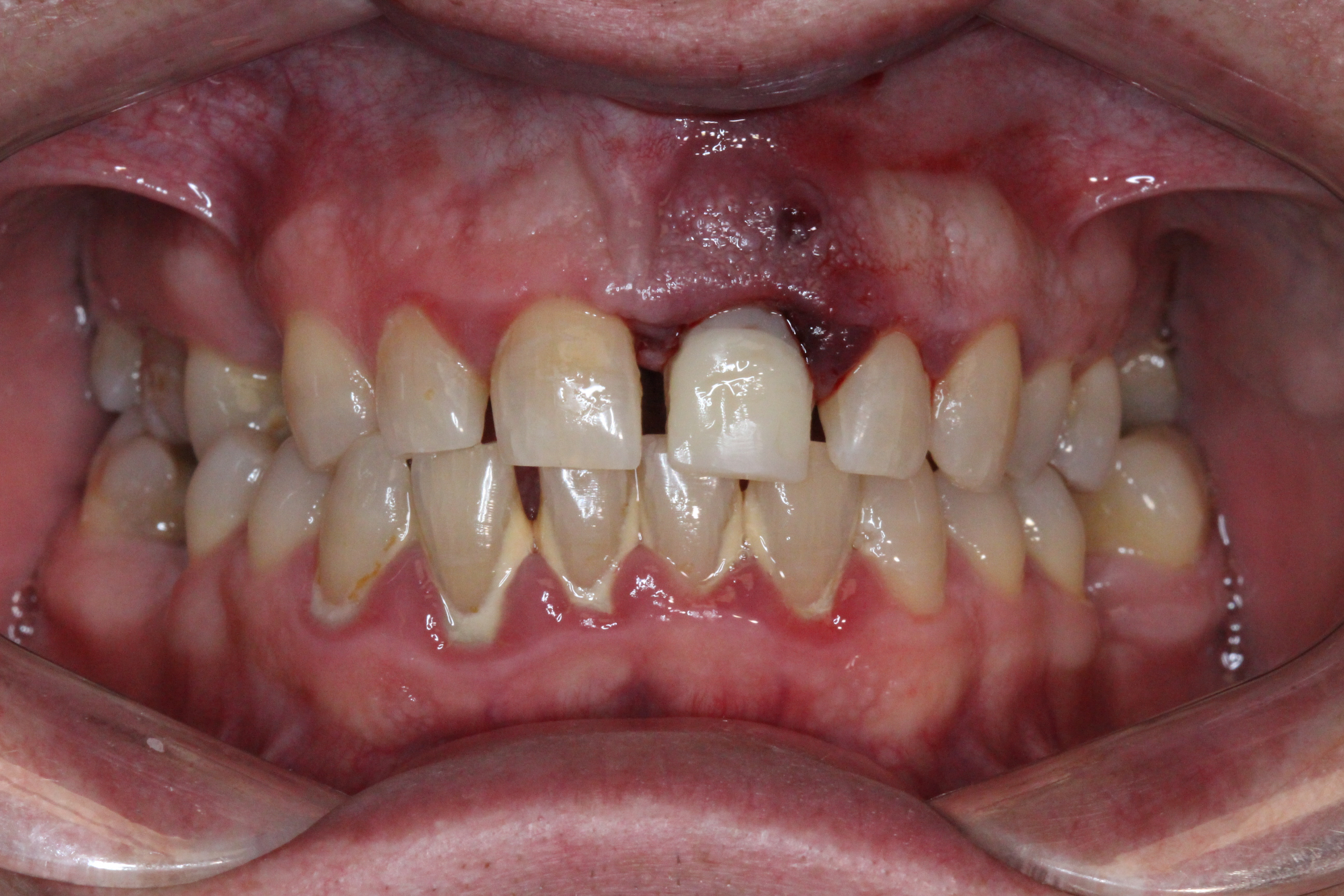
A Multi-Unit Abutment (MUA 1.6) was connected to the implant. Using a titanium sleeve, a temporary crown was fabricated chairside, and the implant was immediately loaded. Benefits of this approach included preservation of the extraction socket, maintenance of the interdental papilla, immediate restoration of aesthetics, and high patient satisfaction.
The patient left the clinic with a temporary crown on the day of surgery and was advised to follow a soft-food diet for the first month.






1 month post-op:




Prosthetic Phase
A digital impression was taken using a DSI scan body at fixture level with a Primescan intraoral scanner.
The temporary crown was replaced with a permanent zirconia crown supported by an individual custom titanium abutment.
The titanium abutment underwent anodization, an electrochemical process that thickens the titanium oxide layer to improve aesthetics, enhance soft tissue response, and reduce metallic shine in cases with thin mucosa.
Final Outcome
Post-treatment evaluation demonstrated successful osseointegration of the DSI implant with stable peri-implant soft tissue and a favorable aesthetic outcome.
Conclusion
Digital treatment planning combined with guided surgery enables predictable immediate implant placement and loading even in cases with severe buccal bone loss.
The DICOMLAB open platform allows surgical guide fabrication for multiple implant systems, providing flexibility and precision.
The use of a DSI Conical Implant with immediate provisionalization allowed preservation of soft tissue architecture and immediate restoration of function and aesthetics.




