Complete Rehabilitation of the lower jaw with Compression Implants
Featured products
Patient Examination: Chief Complaint: Complaints of multiple missing teeth and mobile teeth in a lower jaw region.
Medical History: No relevant medical history, no known allergies. History of a smoking habit. History: 1) missing teeth due to extraction done many years back; 2) Grade III mobility is from aggressive periodontitis.
Clinical Examination: Missing tooth in relation to #18, 19, 24, 30, Grade 3 Mobility in relation to, #31, 23, 25, 26, Grade II mobility in relation to #27, 22, 21, 20.

Preoperative Diagnosis: Kennedy`s class III partially edentulous upper arch with missing state of #18, 19, 24, 30, Grade 3 Mobility in relation to, #31,23,25,26, Grade II mobility in relation to #27, 22, 21, 20.
Development of Treatment plan: Treatment Goals: The patient wants to restore all the missing and mobile tooth in the lower jaw, and prefer implant supported prosthesis rather than tooth supported bridge. Full mouth rehabilitation (Lower Jaw planned with multiple implants and implant-supported bridge).
Evaluation of existing natural dentition: Missing tooth in relation to #18, 19, 24, 30, Grade 3 Mobility in relation to, #31, 23, 25, 26, Grade II Mobility in relation to #27, 22, 21, 20. Upper arch multiple missing teeth replaced with Tooth supported Bridge, tooth #1, shows dental caries into pulp, necessitating extraction.
Inter-arch relationships: Class I canine relationship, with adequate inter-occlusal space.
Evaluation of edentulous ridge: Clinically, it looks to be adequate buccolingual and mesiodistal width, there is a good amount of thick keratinized gingiva.
Prosthetic restoration selection: Implant-supported cold weld zirconia crowns and Implant supported cemented retained zirconia crowns.
Hard and soft tissue modifications: None are expected.
Implant selection rationale: Two different kinds of Implant systems can be used, as per clinical indication. 1) Monoblock Implants: DSI MC One-piece Compressive Implant with special compressive threads. 2) Duplo Implant: Plateau design, ultra short implant with cold weld implant-abutment connection with unique 1.5-degree locking taper implant-abutment connection and 360-degree universal abutment positioning with the absolute bacterial sealed connection.
Surgical and Prosthetic Report Surgical procedures: Vitals Checked, was found to be normal.
For the Implants on #18,19,20: Topical anesthetic gel – (20% benzocaine) was applied at the site of l.A – then 1 carpule of lignospan special – lidocaine 2 % with adrenaline 1:80,000 given using a long 27 gauge needle as an inferior alveolar nerve block. Pt tolerated the injection and has no adverse reactions to the anesthetic.
For the extraction on teeth #20: the gingiva was elevated with periosteal elevator, the tooth was luxated and then removed with lower premolar forceps. Cotton gauze was placed at the site of extraction, and post-extraction instructions were given.
For the Implants on teeth#18, 19, 20: The extraction socket was well curreted, and the soft tissues and removed. Osteotomy was done with a Pilot drill and checked the position of the implant was placed on missing teeth #18, 19, and #20 with parallel pins. Placed the DSI MC One-piece Compressive Implant 4.2 / 11.5mm on missing teeth #18 and 19. Placed the DSI MC One-piece implant 4.2 / 13mm On #20. Torqued using 40ncm. Stabilized the implant by manual torquing. Cover screws of the implant were placed and closed with sutures of 4/0 DSI PGA 19mm used.
For the extraction on teeth# 21 and 22: the gingiva was elevated with periosteal elevator, the tooth luxated, and then removed with lower anterior and lower premolar forceps. Cotton gauze was placed at the site of extraction, and post-extraction instructions were given.
For the implants on teeth #21 and 22: Extraction socket well curreted, using a curette. Osteotomy was done with a Pilot drill and checked the position of implant was placed on missing teeth #21 and #22 with parallel pins. Placed the DSI MC One-piece Compressive Implant 3.75 / 16mm on missing teeth #21 and 22. Torqued using 40 Ncm. IOPA was taken on teeth #21, 22 to verify the position of the implant. Stabilized the implant by manual applying torquing. For alveolar Bone Preservation, Tricalcium Phosphate impregnated DSI Sponge Graft – used 2 plugs placed on the surrounding implant and on the buccal area of the bone of missing teeth #21 and 22 and closed with sutures of 4/0 DSI PGA 19mm used.
For the implants on teeth #26 and 30: topical anesthetic gel – (20% benzocaine) was applied at the site of l.A – then 1 carpule of lignospan special – lidocaine 2 % with adrenaline 1:80,000 given using a long 27 gauge needle as an inferior alveolar nerve block. Pt tolerated the injection and has no adverse reactions to the anaesthetic.
Incision done from missing #26 and 30 with flap raised, using curette we removed the soft tissues. Osteotomy was done with a Pilot drill and checked the position of implant was placed on missing teeth #26 and 30 with parallel pins. Bone level on the alveolar ridge of teeth #26 and 30 was found to be very low So Bone graft (DSI Syntoss Pure – Synthetic bone graft 1cc placed on the area of teeth # 26 and 30. Placed the S.L.A DUPLO Implant (2.5) 4.0*8.0 on missing teeth #26 and 30. Torqued using 40Ncm. IOPA was taken on teeth #26 and 30 to verify the position of the implant. Stabilized the implant by manual torquing. Cover screws of the implant were placed after confirmation by IOPA. For alveolar Bone Preservation, with DSI Sponge Graft – 2 plugs were placed on the surrounding implant and on the buccal area of the bone of missing teeth #26 and 30 and closed with sutures of 4/0 DSI PGA 19mm used. Final irrigation of normal saline before letting the patient bite on sterile gauze. Final IOPA has taken before discharging the patient. Medicine prescribed – Tablet Augmentin 1g BID for 5 days and tablet Ibuprofen 400mg TID for 5 days, 1 pack of sterile gauze, and post-operative instructions after implant placement and bone grafting is given.
For the extraction on teeth# 23, and 25: gingiva elevated with periosteal elevator , tooth luxated and then removed with lower anterior forceps. Cotton gauze placed in the site of extraction.
For the implants on teeth #23, 24 and 25: Incision done from missing #23, 24, and 25 with flap raised, upon using a curette and removing the soft tissues. Osteotomy was done with a Pilot drill and checked the position of implant was placed on missing teeth #23, 24, and 25 with parallel pins. Bone on the alveolar ridge of teeth #23, 24, and 25 was insufficient So Bone graft (DSI Syntoss Pure – Synthetic bone graft 1cc placed on the area of teeth #23, 24, and 25. Placed the MC One- piece implant 3.75 / 16mm on missing teeth #23, 24 and 25. Torqued using 40Ncm. IOPA was taken on teeth #23, 24, and 25 to verify the position of the implant. For alveolar Bone Preservation DSI Sponge Graft – was used 2 plugs placed on the surrounding implant and on the buccal area of the bone of missing teeth #23, 24, and 25 and closed with sutures of 4/0 PGA 19mm used.


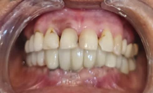
For implant-supported crowns in relation to #18, 19, 20, 21, 22, 23, 24 and 25: The procedure explained to the patient. Consent was taken for cementation of Zirconium implant-supported crown on teeth #18, 19, 20,21,22,23,24, and 25 implant-supported crowns, no anesthesia was given. The temporary crown is taken out, try fitting the crown prior to cementation. Cementation with Fuji 1 Glass Ionomer luting cement. Contoured and checked for high contact with articulating paper and proximal contact with dental floss. Polishing of crown. Post-operative care for crowns was given.







Type of patients instructions: Oral hygiene instructions given and periodic recall 6 months.
Complications: None. Patient acceptance and prognosis: The patient was satisfied with her result, and a good prognosis is expected.
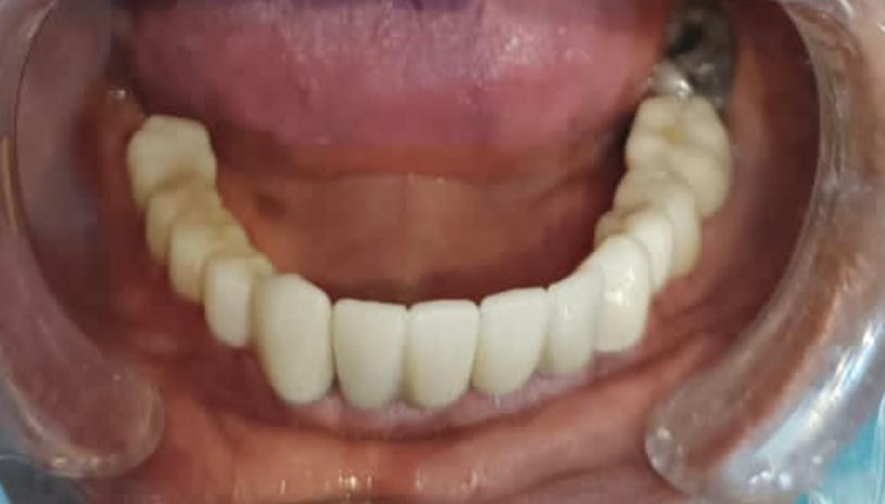
Post-operative clinical picture: Post-op, 6 months: Excellent bone height. Adequate Soft tissue healing


.jpeg)



