Clinical Case in Implant Dentistry by Dr. Carmy M. Michael DDS
Featured products
CASE STORY
The patient arrived with a failed dental implant from another brand. The situation was complex due to compromised surrounding hard and soft tissues. A treatment plan included implant removal, ridge bone augmentation, surrounding soft tissue management, and final prosthetic rehabilitation. The case was completed by DII (Dental Implant Institute, California, USA) using the DSI Implant System, with a focus on long-term stability, functionality, and natural esthetics.



.jpeg)
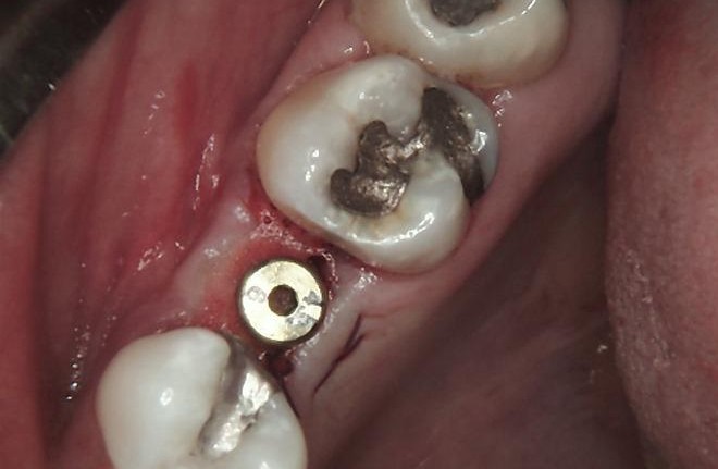
INITIAL STATE
Clinical and radiographic examination revealed a failed implant with signs of periimplant tissue compromise. Intraoral evaluation demonstrated inadequate soft tissue quality and unfavourable conditions for immediate restoration. CBCT imaging was performed to assess bone volume, implant position, and anatomical limitations prior to treatment planning.






SURGERY
The failed implant was atraumatically removed, followed by thorough debridement of the surgical site.
Bone graft material was placed to restore adequate bone volume and support future implant placement.
A new implant was inserted in a prosthetically driven position, ensuring primary stability.
Surgical site was sutured to allow uneventful healing.








HEALING STAGE
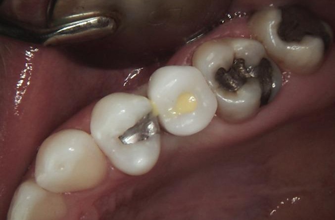
During the healing phase, soft tissue maturation and integration were closely monitored. Soft tissues were carefully managed, using the Free Gingival Graft technique, which allowed for enhancing keratinised tissue and improving peri-implant tissue stability.
A healing cap was placed to guide soft-tissue contouring and support optimal formation of the emergence profile.






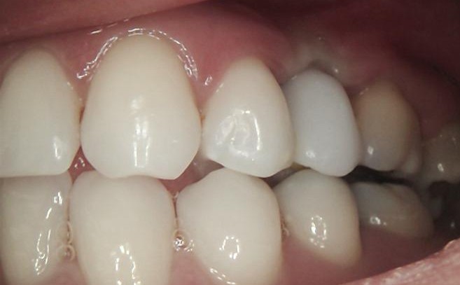
FINAL
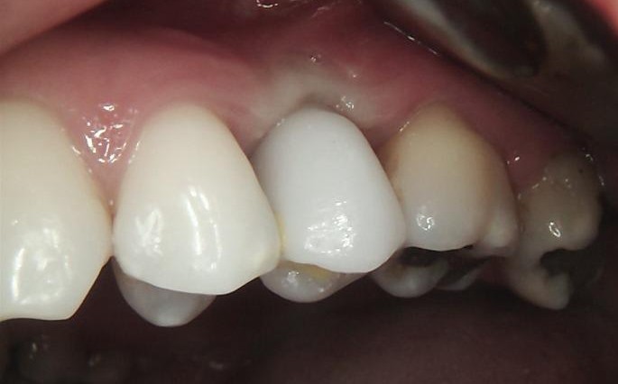
After successful osseointegration, the definitive restoration was delivered using a Ti-base-supported crown, held by Dr Carmy.
Final radiographic evaluation confirmed proper implant positioning and bone stability.
The treatment resulted in a functional, stable, and esthetically harmonious restoration fully integrated with the adjacent dentition.
All stages of the treatment, including planning, surgery and crown design, are done by the residents of Dr. Carmy's Year-long Implant Handson course at Dental Implant Institute of the West Coast, California, USA


