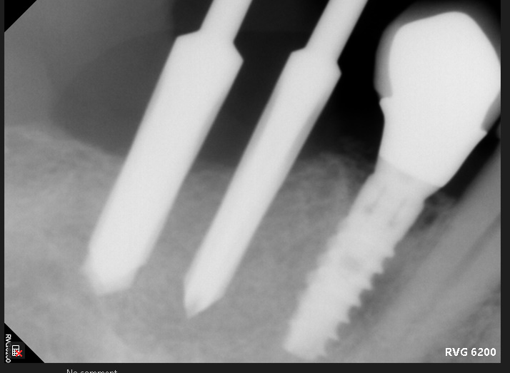
Upper left maxilla with deficient vertical&horizontal bone volume case
Download brochure in PDF
Featured products




















































A graduate of University of Western Ontario Schulich School of Medicine & Dentistry with a degree of Doctor of Dental Surgery 2004 with a 6 months residency.
Also a graduate of Cairo University, School of Dentistry 1993 with a 1 year residency. Extensive training in the field of Dental Implantology and Digital Work Flow in Dentistry, A journey that started over 10 years ago and is still ongoing. Certified in Oral Sedation through DOCS and IV Conscious Sedation.
Active member of the Academy of Osseointegration (AO)