Failed root canal and Cyst repair W PET & Immediate Implant DSI case
Featured products
DSI Premium Implants Mountless
DSI Titanium Scan Post
DSI Ti-Base Abutment CAD/CAM Anatomic
DSI Zenoss Bio Membrane
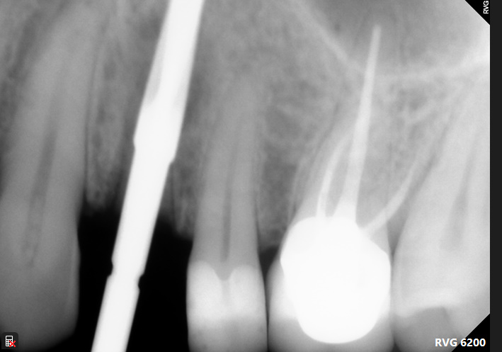
In this case we were treating a 40-year-old female patient, without background health issues, who previously underwent a failed root canal treatment and apicoectomy, followed by persistent cyst and pain. The patient was referred to Dr Carmy for treatment from the previous surgeon. Using the Root Shield technique, 16mm DSI implant was used (immediate 1-stage placement) , along with a xenograft and membrane on the buccal side. A 3mm gingival height restoration was placed, based on the DSI ti-base within four months of treatment. This appointment marks a 12-month recall, post-ops are included.
.jpeg)
.jpeg)
.jpeg)
.jpeg)
.jpeg)
.jpeg)
.jpeg)
.jpeg)
.jpeg)
.jpeg)
.jpeg)
.jpeg)
.jpeg)
.jpeg)
.jpeg)
.jpeg)
.jpeg)
.jpeg)
.jpeg)


.jpg)
